ミモザ犬猫クリニック院長です。
今回ご紹介するのは、腫瘍化した脾臓を摘出した11歳の猫ちゃんです。
こちらの猫ちゃんは、食欲不振と嘔吐の症状をきっかけに当院を受診しました。
検査で見つかった「脾臓の異常な腫れ」
血液検査に大きな異常はなかったものの、「脾臓」という臓器が異常に腫れていました。
また、嘔吐の症状がありましたが、エコー検査で入念に調べても胃腸やその他の臓器には異常は見つかりませんでした。
この時点では断言できませんが、やはり脾臓の腫瘍化が今の症状と関係していると考えるのが妥当であり、また、この異常な脾臓は早急に調べる必要がありました。
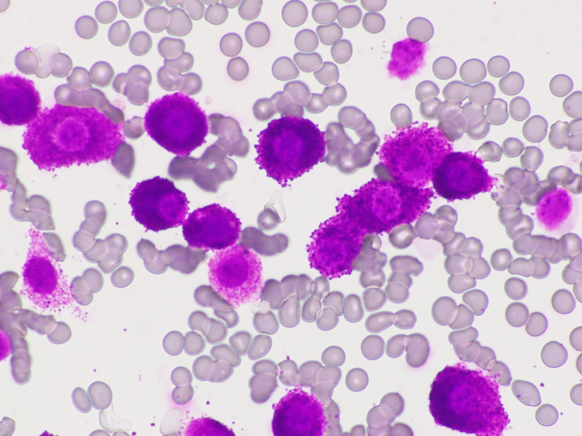
細胞診の結果は「肥満細胞腫」
飼い主様にこのことをお伝えし、詳細な検査を希望されていたため、その日のうちに脾臓の細胞診を実施しました。
※細胞診とは、注射針で皮膚や臓器から細胞を採取し腫瘍や炎症などの疾患を診断・推測できる検査方法です。
細胞診の結果は「肥満細胞腫」でした。
嘔吐の症状には、肥満細胞腫によるヒスタミン分泌が関係していて、元気・食欲不振もこの腫瘍による影響と診断しました。
治療方針の選択 — 緩和治療か、外科手術か
猫の脾臓に発生した肥満細胞腫の治療方法は、以下のようなものがあります。
- 脾臓全摘出(外科治療)
- 副腎皮質ステロイド剤や抗ヒスタミン剤の投与(内科治療)
- 抗がん剤治療
それぞれの治療法のメリットとデメリット、生存期間などの情報を飼い主様にお話しし、治療方針を協議しました。
暫定的な治療を行いながら、治療方針を決定
最初は、高齢ということもあり負担の大きな外科治療は避けたいとのご希望で、内科治療を1週間ほど続けました。
お薬の効果もあり、嘔吐や食欲不振などの症状は改善しました。
その後、ご家族で改めて話し合われ、「できる最大限の治療をしてあげたい」とのお気持ちを固められ、受診から3週間後に手術を実施しました。
手術の前には、あらためて血液検査やレントゲン検査、心臓の検査などを実施し、麻酔のリスクを詳しく評価して合併症が最小限になるよう準備を行います。
幸い、術中の麻酔は安定しており、術後の合併症も見られず、退院後の回復も良好でした。
術後の回復と現在の様子
退院後の体調も安定しており、体重も増加傾向です。現在はご家族のもとで穏やかに生活できています。
手術後の経過観察も定期的に行い、今後の再発や他臓器への影響を注意深くチェックしていきます。
早期発見・早期対応が治療の可能性を広げます
今回のケースは、「食欲が落ちてきた」「嘔吐」という段階でご来院いただき、その場で詳しい検査まで進められたことが大きなポイントでした。
症状を「もう少し様子を見よう」と放置し、栄養不良が進行していた場合、ここまでスムーズに治療に進めていなかった可能性もあります。
獣医療は進歩し、治療の選択肢も多様になりました。
しかし、「何を優先するか」「どこまで治療するか」は、その子の年齢や体質、ご家族の想いによって一頭一頭異なります。
今回のように、内科治療で様子を見ながら、ご家族が納得できるタイミングで外科治療に進むというステップも、積極的な向き合い方だと思います。
私たちは、ただ治療をするのではなく、“その子にとっての最善”を、ご家族と一緒に選び取ることを大切にしています。
今後も定期的な検査で体調を見守りながら、できるだけ穏やかで快適な時間を支えることが、私たちの役目です。
「ちょっと気になる…」「これって診てもらうべき?」と思ったタイミングこそが、早期発見により治療の選択肢を一番多く残せるチャンスです。
早期に気づき、迷わず相談することで、その子にとって最善の選択肢を一緒に検討することができます。いつでもお気軽にご相談ください。
